Усі новини

У Запоріжжі зареєстровано випадок захворювання на дирофіляріоз. Що це за захворювання і чим небезпечне?

Поділитися:

У Запоріжжі зареєстровано випадок захворювання на дирофіляріоз. Що це за захворювання і чим небезпечне?

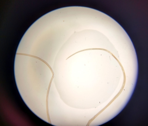
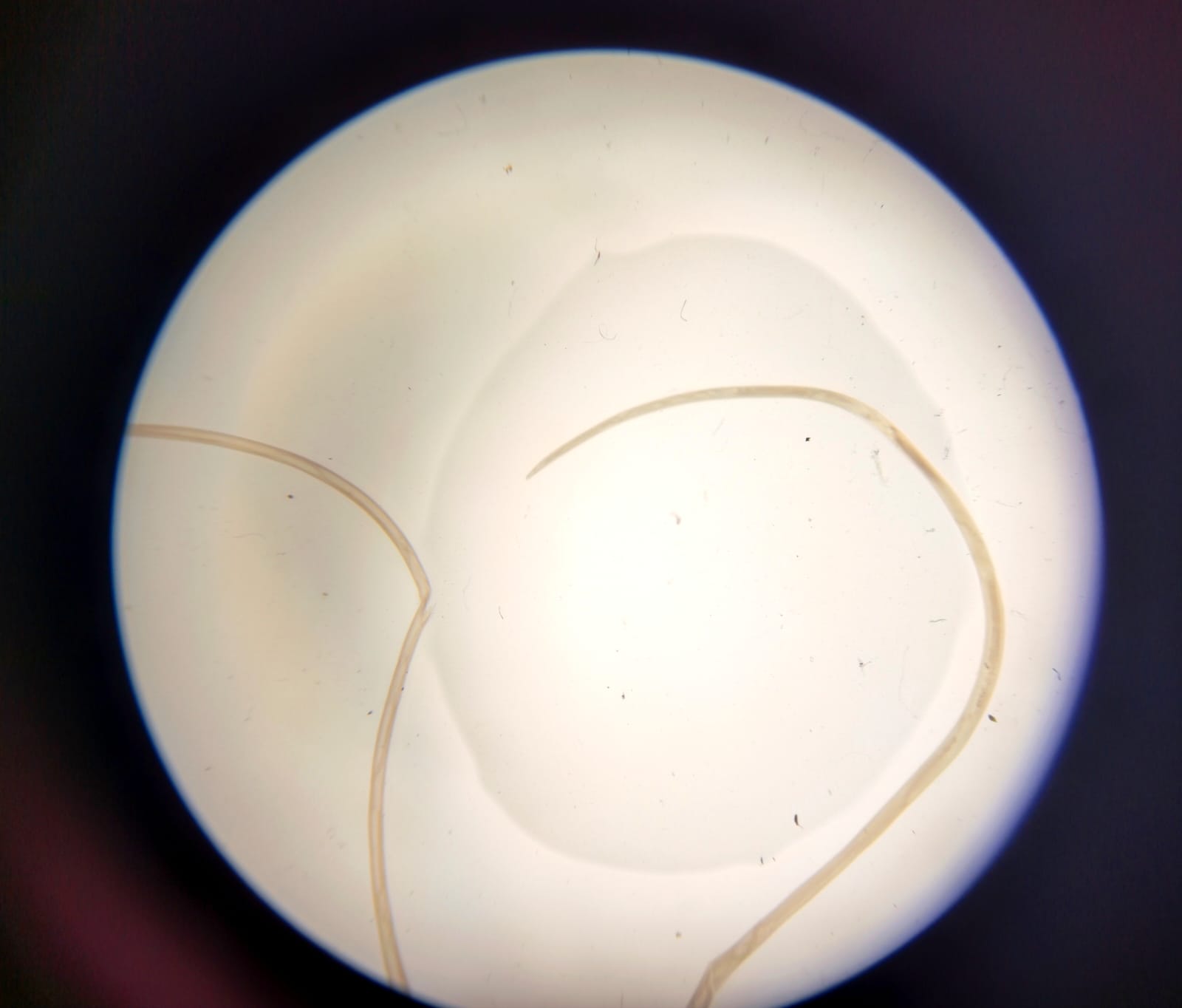
Дирофіляріоз – паразитарне захворювання людини. Зараження відбувається через укуси комарів, які заражені личинками дирофілярій. Період інкубації триває від одного місяця до декілька років. Клініка дирофіляріозу пов’язана з місцем утворення підшкірних змін. Хворі звертаються зі скаргами на свербіж, набряк, почервоніння, біль, появу пухлини, підвищення температури тіла, слабкість, погане самопочуття. Також характерні відчутні переміщення або рух паразита під шкірою. У більшості випадків дирофілярії локалізуються в області голови.

Профілактика захворювання полягає в захисті від укусів комарів. Для цього рекомендується використовувати репеленти, антимоскітні сітки, захисний одяг.

Захворювання на дирофіляріоз серед мешканців м. Запоріжжя виявляється спорадично: 2023 рік – 3 випадки; 2024 рік – 5 випадків; перше півріччя 2025 року – 1  випадок. 8 із 9 пацієнтів не виїжджали за межі Запорізької області останні 2 роки перед захворюванням. Було госпіталізовано та прооперовано в стаціонарі – 2, амбулаторно -7. Гельмінти були видалені: з області голови – 6, в тому числі ока – 3; область тулуба – 3. Діагноз «дирофіляріоз» до оперативного втручання було встановлено у 6 хворих. Всі видалені гельмінти були доставлені на ідентифікацію до паразитологічної лабораторії Запорізький обласний центр контролю та профілактики хвороб. Останній випадок з локалізації хвороби на повікі ока був викликаний підшкірною дирофілярією і характеризувався міграцією гільмінта із області перенісся.

Зазначимо,  дирофіляріоз – виліковний, але необхідно проведення своєчасної діагностики. У випадку підозри на дирофіляріоз та погіршення самопочуття не займайтесь самолікуванням, звертайтесь по кваліфіковану медичну допомогу.

На фото під мікроскопом гельмінти Dirofilaria

Знайти